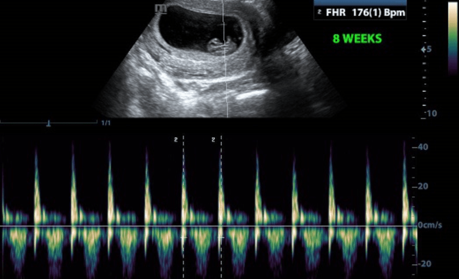
heartbeat-eight-weeks

Leave a comment

This site uses Akismet to reduce spam. Learn how your comment data is processed.